二次カリエスとは? 二次カリエスは「二次齲歯(うし)」とも呼ばれるもので、過去に虫歯になって治療した歯が再び虫歯になることです。虫歯を治療するとき、通常は虫歯部分を削ってレジンを詰めたり金属をかぶせたりします。. 虫歯の進行度は、英語でむし歯を意味するCaries(カリエス)の頭文字を取った「CO、C1~C4」で表し、数字が大きくなるにつれ、重症になります。. また、虫歯の基本的な治療工程は、次の通りです。. 虫歯を削る. (虫歯の進行度がC3以上の場合)根管治療.

二次カリエスの原因とは|虫歯の再発予防にセラミックがいいって本当? 瑞穂区・南区新瑞橋駅近くの歯医者【RYO JIMBO DENTAL 新瑞橋歯科・矯正歯科】

二次カリエスって何?治療しても繰り返す虫歯を解説! ひらうち歯科|京都市伏見区 近鉄 桃山御陵前駅徒歩1分

【PGAインレー】深い位置の二次カリエス|(医)精密審美会

虫歯治療後の虫歯(二次カリエスについて) 北村歯科医院|神戸市兵庫区和田岬の歯医者

一度治療をした歯の再治療(2次カリエス)について 不動前の歯医者

銀歯の二次カリエス 天王寺の歯医者(歯科医院)『松川デンタルオフィス』

二次カリエスの原因と予防方法|東京都江戸川区篠崎駅前の歯医者

歯間のレジン充填の二次カリエス マイクロスコープを使った治療 天王寺の歯医者(歯科医院)『松川デンタルオフィス』

二次カリエスの原因と予防方法|東京都江戸川区篠崎駅前の歯医者

二次カリエスを防ぐ! 一宮市柚木颪の歯科医院 おろし歯科医院

二次カリエスについて 赤羽 歯医者 赤羽ニュー大谷歯科・おとなこども矯正歯科 赤羽岩淵駅徒歩1分

二次カリエス(二次う蝕)の発生原因と予防方法 石塚歯科医院

二次カリエス YouTube

Q二次カリエス(詰め物と歯の境目の虫歯)を防ぐには?(院長 長崎) ワコ歯科・矯正歯科|夜20時まで診療・平間駅徒歩30秒

カリエスマネジメントセミナー、ICDASとXR(院長 長崎)

銀歯の二次カリエス 天王寺の歯医者(歯科医院)『松川デンタルオフィス』

一度治療をした歯の再治療(2次カリエス)について 不動前の歯医者

歯と歯の間の虫歯(隣接面カリエス)の進行過程 歯科|大阪府堺市の藤井歯科

二次カリエスの原因とは? 医療法人 高橋衛歯科医院

二次カリエスとは💦🐢 かわもと歯科・こども歯科クリニック(広島市、玖村駅、歯科医院)口コミのある歯医者
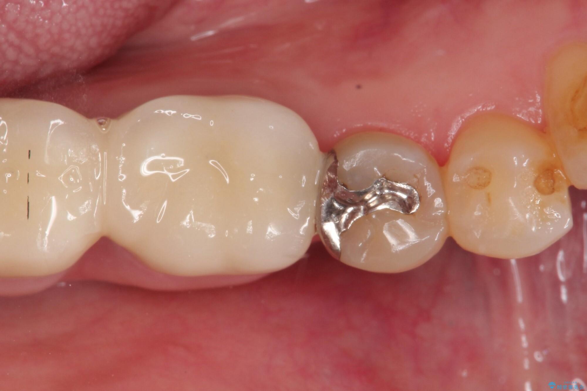
二次カリエスの発生原因. 二次カリエスの発生は以下のような要因が重なっています。. 詰め物・かぶせ物の素材、セメントの劣化. 口腔内の清掃が行き届いていない. 一次虫歯治療時の精度不足. これらの要因について詳しく解説していきましょう。.. ※2次カリエスの該当歯. 根管とは歯の内部にあり、中には神経や血管が入っています。虫歯が進行して虫歯菌がこの根管まで達すると歯の神経や血管が汚染し、やがて歯が機能しなくなり、抜歯せざるを得なくなってしまいます。.